Hours by Appointment
  • Hours of operation Monday to Thursday 7:30-9:00, Friday 7:30- 6:00, Saturday 8:00-2:00.
Dental Emergencies
If you are experiencing a DENTAL emergency, during regular business hours, Please call (781) 235 4321

Gallery

Custom made crown to allow cleaning of the defective tooth:

Trauma:

Missing front tooth:

Straight and Esthetic Teeth:

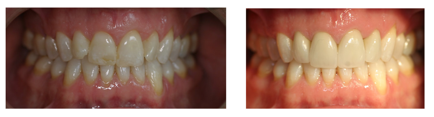
Restoring broken down teeth due to age (upper only):

Braces: Before and After

Periodontal surgery:

Preventing premature tooth Loss by Frenotomy of the lip muscles pulling on the supporting Gum